同心共筑 伴你同行
兽用彩色多普勒超声诊断系统
兽用彩色多普勒超声诊断系统
动物是人类最亲密的朋友和最值得信赖的伙伴。1xBET也一直致力于探索动物专用的超声影像解决方案。全新推出的ProPet系列,是1xBET在动物超声影像智能化、专业化、精准化的一次跨越式革新。动物不能用言语来表述自己的不适,通过超声影像,ProPet系列搭建了动物医生与不同物种沟通的“桥梁”,为动物医生注入了“治愈之力”。 ProPet 70将是您值得信赖的超声伙伴。它配备了复合材料线阵探头,帮助动物医生获得卓越精准的临床图像。同时ProPet 70直观便捷的操作体验以及专业的测量工具,可为不同体型和生理结构的动物带来全面临床评估,切实为动物医生提供智能、专业、精准的超声影像解决方案。
无论在暗室还是明亮的环境下,都能提供出色的对比分辨率、图像清晰度和鲜艳的色彩。
防眩光和防指纹超大触摸屏,支持角度可调节。
可有效防止液体浸入或动物毛发粘连。
支持2小时以上设备不断电的连续扫查。
减少频繁插拔更换探头带来的不便,为动物医生节省宝贵的时间和精力。
为不同体型动物的检查场景提供灵活的机身高度调节。
显示屏关节支臂支持大角度旋转,可适应不同的临床应用场景。
猫、中小型犬及小型异宠动物
ProPet 70 进一步提升了微米成像算法,更加注重对基础原始图像的还原和保留,在有效减少斑点噪声、增强组织边界显示的同时,避免过度优化丟失真实的解剖信息。
增强穿刺针在动物解剖结构中的位置,提高穿刺介入的安全性和准确性。
操作简便,无需高频度外力作用即可真实反映组织的形变,快速评估肿瘤良恶性。
采用红、橙、黄、绿、青、蓝、紫这七种肉眼最为敏感的色彩,直观地显示组织内血流灌注的时间先后信息,更精准捕捉血流灌注走行细节。
能够基于左心室壁追踪和辛普森法,自动计算射血分数,支持多个可移动点描迹,与手动测量相比,极大节省了动物医生的时间和精力。
具备多种协议可选,同时支持17阶段划分法和专业的SE报告。
大型犬、马科、农场动物及大型异宠动物
通过创新的 Matrix E自适应滤波器和超长时间域算法,极大提升超低速微细血流的检出能力,同时更精准地滤除软组织和噪声信号,为兽用医生提供以往无法通过常规血流获得的疾病诊断信息。
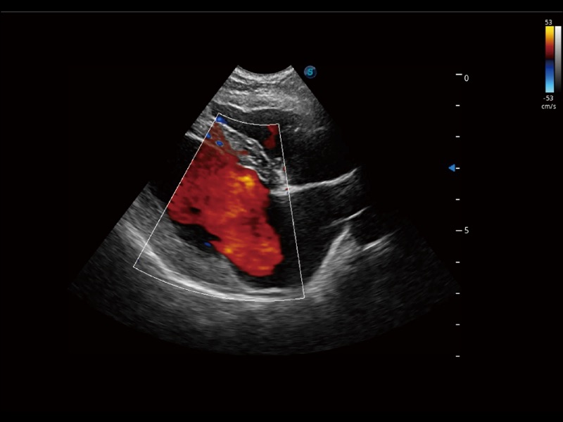
通过色彩血流和实时宽景相结合,可观察到完整的静脉或动脉的血流,方便医生检查。实时扫查过程中,如有任何操作失误也可以很容易地进行回扫擦除,而不会中断扫查。
提供差异化的图像风格,使动物医生识别疑似病灶更容易,助力医生筛查不漏诊。
一键自动识别膀胱壁及自动测量膀胱容积,不受膀胱形状和大小的限制,帮助医生快速精准获得测量的数据。
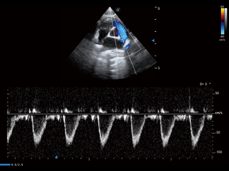
通过360度任意调节3条M型取样线,在同一心动周期上观察心脏不同位置的运动曲线,得到准确的心功能测量数据,有效评估心肌运动及左心室功能。
实时用颜色表示心肌组织运动,观察和定量组织的运动情况,对快速检测与评估心肌的灌注和活性、电传导及心肌收缩和舒张功能等均能提供重要的诊断信息。
ProPet 70专为动物医生设计,对不同的动物体型和生理结构作出了针对性的优化。通过动物影像专用软件,可满足个性化的应用需求,帮助动物医生获得更精确的诊断数据。
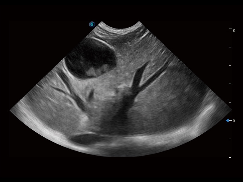
为精细结构及组织边缘提供高清晰度的图像和更大的成像视野。帮助减轻医生的用眼疲劳,快速精准获得测量的数据。
当心脏测量结果超出正常范围时,可实时预警提示动物医生,减少疾病漏诊概率。
提供解剖示意图、标准超声图像、扫查手法图和操作者实时检查图像,指导操作者进行标准切面的正确扫查。
内置报告诊断描述模板库,支持报告自定义,提高报告撰写效率,让医生更专注于疾病诊断。
测量
报告
针对宠物、马科、农场动物、实验室动物和异宠等20多种动物种类,预置丰富的动物注释及动物体标库。
动物体标
动物注释
动物种类
为用户提供更优质的操作体验,是1xBET始终坚持的目标。ProPet 70完善的智联交互解决方案,可随时随地满足您远程会诊、教学、屏幕共享等互联互通需求。
可实现PC端与超声机器的快速连接,将动物超声检查图像、视频或报告通过有线或无线快速传输。帮助简化动物医生工作流程,提升工作效率。
可实现移动端与超声机器快速无线连接,宠物主可下载共享动物超声检查图像,记录动物的生长轨迹。
一键发起远程会诊,可将超声设备的屏幕信息实时共享至移动端,帮助动物医生进行远程医疗咨询和指导。
ProPet 70 全新的动物超声智能软件和丰富的探头群,为动物医生提供了高清晰度和精细分辨率的图像,无论在宠物、马科、畜牧还是实验室动物等应用中都可以轻松应对,为您的日常工作带来满意的体验。

微信公众号
0188-22223333
400-800-8820
版权所有 @1xBET 苏ICP备20008866
互联网电子信息服务资格证书[(苏)-非经营性-2002-0888






